목차
만성 폐쇄성 폐질환(COPD)은 점진적인 폐 질환으로, 진단받은 사람들의 삶의 질에 큰 영향을 미칩니다. 이 질환은 지속적인 호흡기 증상과 공기 흐름 제한을 특징으로 하며, 주로 오랜 기간 동안 자극성 가스나 입자에 노출되면서 발생합니다. 특히 흡연이 주요 원인입니다. 만성 폐쇄성 폐질환을 조기에 인식하고 적절히 진단하는 것은 효과적인 관리와 환자 결과 개선에 있어 매우 중요합니다. 이 글에서는 만성 폐쇄성 폐질환과 관련된 다양한 증상과 이를 진단하는 방법에 대해 알아보겠습니다.
만성 폐쇄성 폐질환의 증상
1. 만성 기침
만성 폐쇄성 폐질환의 초기이자 가장 흔한 증상 중 하나는 만성 기침입니다. 이 기침은 지속적이며 가래가 동반될 수 있으며, 특히 아침에 더 심해지는 경우가 많습니다. 많은 사람들이 이를 "흡연자 기침"으로 간주하나, 이는 폐 손상의 중요한 지표이므로 무시해서는 안 됩니다.
조용한 살인자 COPD(만성폐쇄성폐질환), 해결책은 '폐·심장 동시 치료'
2. 숨 가쁨(호흡곤란)
숨 가쁨은 만성 폐쇄성 폐질환의 또 다른 대표적인 증상입니다. 시간이 지남에 따라 걷기나 계단 오르기 같은 간단한 활동조차 어려워질 수 있으며, 점차 신체 활동 수준이 감소하게 됩니다. 이는 증상의 악화로 이어질 수 있습니다.









3. 천명음(쌕쌕거림)
만성 폐쇄성 폐질환 환자들은 종종 천명음을 경험합니다. 이는 기도의 협착으로 인해 발생하며, 활동 중이나 밤에 더 심해질 수 있습니다. 이 증상은 기도 확장을 위한 치료가 필요함을 나타냅니다.
4. 가슴 답답함
많은 만성 폐쇄성 폐질환 환자들은 가슴이 조여오는 듯한 답답함을 느낍니다. 이는 폐의 염증과 관련이 있으며, 다른 증상인 숨 가쁨과 기침과 함께 나타나는 경우가 많습니다. 이 증상은 의료 전문가와 상의하는 것이 중요합니다.
5. 가래 증가
만성 폐쇄성 폐질환의 또 다른 증상은 가래 생산의 증가입니다. 폐는 자극 물질을 제거하기 위해 더 많은 가래를 생성하지만, 이 가래가 두꺼워지면서 배출이 어려워집니다. 이는 만성 기침의 원인이 되기도 합니다.









6. 피로
만성 폐쇄성 폐질환 환자들은 자주 피로를 느낍니다. 호흡을 유지하려는 신체의 지속적인 노력은 에너지를 소모시켜 전반적인 피로감을 초래합니다. 질환이 진행됨에 따라 피로감은 더욱 심해지며, 일상 활동에 제약을 줄 수 있습니다.
7. 빈번한 호흡기 감염
만성 폐쇄성 폐질환 환자들은 감기, 기관지염, 폐렴과 같은 호흡기 감염에 더 취약합니다. 이러한 감염은 증상을 악화시키고 심각한 합병증으로 이어질 수 있습니다. 자주 발생하는 감염은 질환이 진행되고 있음을 나타낼 수 있습니다.
8. 의도치 않은 체중 감소
만성 폐쇄성 폐질환이 진행됨에 따라 의도치 않은 체중 감소가 나타날 수 있습니다. 이는 호흡의 어려움으로 인한 에너지 소비 증가와 만성 질환에 동반되는 식욕 감소 때문입니다. 심각한 체중 감소는 몸을 약하게 만들어 감염과 합병증에 더욱 취약해질 수 있습니다.
만성 폐쇄성 폐질환의 진단법
1. 의학적 병력과 신체 검사
만성 폐쇄성 폐질환 진단의 첫 번째 단계는 철저한 병력 조사와 신체 검사입니다. 의료 제공자는 흡연 습관, 환경 오염 물질에 대한 노출, 가족력 등을 질문할 것입니다. 신체 검사 중에는 청진기를 사용하여 폐에서 이상한 소리가 나는지 확인합니다.
2. 폐활량 측정(스파이로메트리)
스파이로메트리는 만성 폐쇄성 폐질환을 진단하는 데 가장 일반적이고 필수적인 검사입니다. 이 간단한 비침습적 검사에서는 얼마나 많은 공기를 들이마시고 내쉴 수 있는지, 그리고 얼마나 빨리 내쉴 수 있는지를 측정합니다. FEV1/FVC 비율이 낮은 경우 만성 폐쇄성 폐질환의 주요 지표로 간주됩니다.
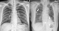
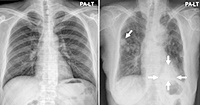
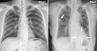
3. 흉부 X선
흉부 X선은 만성 폐쇄성 폐질환의 진단 과정에서 다른 질환(예: 폐암, 심부전)을 배제하는 데 사용됩니다. 흉부 X선만으로 만성 폐쇄성 폐질환을 확진할 수는 없지만, 폐의 과팽창이나 횡격막 평탄화와 같은 질환과 일치하는 변화를 확인할 수 있습니다.
4. CT 스캔
CT 스캔은 폐 손상의 정도를 평가하는 데 유용한 검사입니다. 특히 폐포 파괴가 특징인 폐기종을 감지하는 데 유용합니다. CT 스캔은 폐 손상의 위치와 정도를 정확히 파악하여 치료 결정을 도울 수 있습니다.
5. 동맥혈 가스 검사(ABG)
동맥혈 가스 검사는 혈중 산소와 이산화탄소의 농도를 측정하는 검사로, 만성 폐쇄성 폐질환이 더 진행된 경우 시행됩니다. 이 검사는 폐가 가스 교환을 제대로 수행하지 못하고 있음을 나타낼 수 있으며, 낮은 산소 수치나 높은 이산화탄소 수치를 확인할 수 있습니다.
6. 알파-1 항트립신 결핍 검사
알파-1 항트립신 결핍증은 만성 폐쇄성 폐질환의 유전적 원인 중 하나로, 특히 젊은 나이에 질환이 발생했으나 흡연 이력이 없는 경우 검사해볼 수 있습니다. 이 결핍증을 진단하면 유전적 원인을 파악하고 치료 방안을 제시하는 데 도움이 됩니다.
7. 운동 검사
운동 검사는 만성 폐쇄성 폐질환이 신체 활동에 미치는 영향을 평가하는 데 사용됩니다. 이 검사는 운동 중 폐 기능을 측정하여 질환의 중증도와 산소 요법의 필요성을 판단하는 데 도움을 줍니다.
8. 가래 검사
가래 검사는 만성 폐쇄성 폐질환 환자에서 감염 여부를 진단하거나 다른 원인을 배제하는 데 사용됩니다. 가래 검사를 통해 호흡기 증상을 유발하는 박테리아나 기타 병원체를 확인할 수 있습니다.
결론
만성 폐쇄성 폐질환의 증상을 조기에 인식하고 신속하게 진단받는 것은 이 만성 폐질환을 관리하는 데 매우 중요합니다. 만성 기침, 숨 가쁨 등의 증상에서부터 폐활량 측정과 CT 스캔 같은 진단 방법까지, 증상과 진단 방법을 이해함으로써 적절한 치료를 받을 수 있습니다. 의료 제공자와 협력하여 만성 폐쇄성 폐질환을 효과적으로 관리하고 삶의 질을 향상시킬 수 있습니다.
남해 가볼만한곳 베스트 10
남해는 자연의 아름다움과 다양한 관광명소가 조화롭게 어우러진 지역입니다. 특히 여름철에는 시원한 해변과 풍성한 볼거리로 많은 이들이 찾는 명소 중 하나입니다. 이 포스팅에서는 남해 가
knowledgehubkorea.manythings.co.kr
강원도 가볼만한곳 베스트10 8월9월
우리나라에서 여행하기 좋은 지역을 찾고 있다면, 강원도를 적극 추천합니다. 강원도는 자연의 아름다움을 만끽할 수 있는 지역으로, 설악산 국립공원, 남이섬, 태백산맥 등 다양한 명소가 가득
knowledgehubkorea.manythings.co.kr